
Position: Chief Expert of Oncology Department
Title: Chief Physician
Specialty: He specializes in chemotherapy, minimally invasive therapy, biotherapy and targeted therapy for various solid tumors, especially in the treatment of thoracic tumors such as esophageal cancer, lung can
Pioneering Advances in Oncology Diagnosis and Treatment, Co-Creating a New Chapter in Southeast Asia’s Anti-Cancer Journey
—A Dialogue with the Chief Oncology Expert of Prof. Song Shijun
Over Four Decades of Medicine Experience: Witnessing the Evolution of Cancer Therapy against Time
One expert has consistently illuminated the path to renewed hope for countless patients through advanced technology and compassionate care. He is Prof. Song Shijun, Chief Oncology Expert and leader of the Multidisciplinary Team (MDT) at Prof. Song Shijun.
With over 40 years of clinical oncology experience, Prof. Song Shijun is a distinguished senior member of the China Anti Cancer Association (CACA), the American Society of Clinical Oncology (ASCO), and the European Society for Medical Oncology (ESMO). A long-standing advocate for medical exchange between China and Southeast Asia, he is internationally recognized as an authority in precision minimally invasive therapy.
[Prof. Song Shijun]
From the 1980s to the 1990s, surgical resection, systemic chemotherapy, and radiotherapy formed the mainstream and bedrock of cancer treatment in China. Today, propelled by technological advancements, oncology has developed toward precision, minimally invasive, and integrated approaches. Innovations such as minimally invasive therapy, targeted therapy, and biological immunotherapy have revolutionized patient prognoses and quality of life.
Prof. Song Shijun has witnessed the evolution and advancements in cancer treatment. He specializes in chemotherapy, minimally invasive therapy, biotherapy, and targeted therapy for various solid tumors. His expertise particularly covers esophageal cancer, lung cancer, breast cancer, lymphoma, stomach cancer, and colorectal cancer. With extensive experience in diagnosing and treating clinically challenging malignant tumors, he has provided care to over 10,000 domestic and Southeast Asian patients. Under his treatment, many cancer patients have achieved survival periods exceeding 10 years.
“Membership in international oncology societies ensures we remain at the global forefront of cancer treatment.” Prof. Song Shijun emphasized during the interview. His global perspective has enabled the rapid integration of cutting-edge concepts like “precision therapy, immune synergy, and Integrated minimally invasive treatment” into China’s clinical landscape. By leveraging the MDT strengths of Prof. Song Shijun, he has developed a comprehensive diagnostic and treatment system tailored to patients across all stages.
Frequently representing the hospital at international conferences and spearheading technical exchanges in Southeast Asia, Prof. Song Shijun has forged broad regional trust and delivered practical treatment solutions to more patients in need from Southeast Asia.
Integrated Minimally Invasive Treatment: Bridging the Gaps in Traditional Treatments
With advancements in integrated medicine and minimally invasive treatment, losing eligibility for surgery no longer signifies a terminal prognosis for mid-to-late-stage patients. Characterized by its “minimally invasive, precise, efficient, and comprehensive” features, it has become an important part in modern anti-cancer system.
Prof. Song Shijun believes that cancer care has entered the “era of chronic disease management.” Rather than aggressively pursuing tumor eradication at the expense of a patient’s overall health, the focus should shift toward achieving “tumor coexistence”—improving quality of life and extending survival. He emphasizes that every cancer treatment method has its limitations. However, as proposed by Academic Fan Daiming, President of the China Anti-Cancer Association, “Ten Principles of Cancer Care” (Prevention, Screening, Diagnosis, Treatment, Rehabilitation, Evaluation, Support, Control, Protection, Survival) highlights the strength of integrated medicine. By combining the advantages of different disciplines and technologies, tailored treatment plans can be developed based on each patient’s disease stage and condition, ensuring the most scientifically sound and individualized approach.
[Prof. Song Shijun at an Anti-Cancer Sharing Session]
For instance, late-stage patients who develop resistance to conventional therapies after multiple lines of treatment often face disease progression. However, personalized minimally invasive therapy for local lessions has alleviated symptoms, improved quality of life, and extended survival by achieving tumor disappeared or coexistence with tumor.
“Minimally invasive therapy is by no means ‘simplified treatment’— it represents a comprehensive challenge to precision, expertise, and multidisciplinary integration,” Prof. Song Shijun asserts. As one of China’s earliest pioneers in integrated minimally invasive treatment, he emphasizes that true mastery lies not in smaller incisions but in the precision-driven logic underpinning the technology.
Under his leadership, Prof. Song Shijun has integrated elements such as imaging guidance, interventional pathways, molecular targeting, and immune timing into its framework of minimally invasive treatment, establishing a dual closed-loop system of “personalized treatment pathways + comprehensive intervention strategies.” The “minimally invasive treatment + immune synergy” model he developed is now a main protocol for mid-to-late-stage patients, lauded for its efficacy and quality-of-life outcomes.
Keeping Pace with The Times:Actively Update the Medical Knowledge Base
“Cancer therapy has evolved from traditional surgery or chemoradiotherapy to an integrated era defined by ‘minimally invasive, biological, targeted, and immune-based strategies,’” Prof. Song Shijun notes. His clinical practices have enabled countless mid-to-late-stage lung, liver, breast, stomach, and colorectal cancer patients to achieve lesion control and extend survival.
His seminal studies, Effect of Radiofrequency Ablation Therapy on Immune Function for Lung Cancer Patients and Effect of Radiofrequency Ablation Therapy on Immune Function for Liver Cancer Patients, demonstrate that radiofrequency therapy not only eradicates tumors locally but also activates immune responses. Coupled with immunotherapy, It is expected to form a “local + systemic” dual-path anti-cancer strategy.
In Clinical Application Value of Palliative Therapy for Advanced Gastrointestinal Malignant Tumors, he redefines that palliative care is not “giving up treatment” but is “dignity-preserving therapy”— a proactive commitment to safeguarding life quality.
In his long-term clinical practice, Prof. Song Shijun has developed a routine of frequent critical reflection and experience summarization by accumulating practical expertise during clinical hours while dedicating his post-work time to scholarly immersion in medical literature.
When confronted with challenging clinical problems, Prof. Song Shijun dedicates spare time and Holidays to research, achieving remarkable results: he participated in 2 National Natural Science Foundation projects, 3 prefecture-level projects, and presided over one key municipal scientific and technological project of Xinxiang City. His portfolio includes over 20 publications (3 SCI-indexed) and co-authorship of 6 academic texts.
Deployment of MDT maximizes efficacy
“Cancer care is not a solo battle but a team effort.” This has been Prof. Song Shiju’s core clinical belief over many years. He emphasizes that multidisciplinary team (MDT) treatment is not only an institutional arrangement but also a profound way of thinking.
As one of the designers and promoters of Prof. Song Shijun’s MDT system, he has integrated oncology, TCM, surgery, radiology, pathology, nutrition, and psychological rehabilitation into a closed-loop collaboration system with pre-classification, multiple rounds of team consultation, and full-path monitoring.
He posits that the essence of MDT transcends conventional group consultation, but in the synergistic integration of cross-disciplinary thinking and practical treatment strategies. Its ultimate mission is to craft the most forward-looking and biologically customized survival solution for individual patients.
“Precision in treatment begins with precision in diagnosis and staging,” Prof. Song Shijun emphasizes, underscoring the critical value of accuracy-driven medicine. The multidisciplinary team (MDT) model proves valuable: It not only saves patients time and energy by not having to go to each discipline for treatment, but also helps patients with difficult malignant tumors. “MDT-guided decision-making demonstrably improves clinical outcomes— enhancing treatment success rates, reducing surgical complications, and standardizing therapeutic paradigms—all converging to optimize patient-centric benefits,” he concludes.
Case Studies: MDT Triumphs Over Complex Malignant Tumors
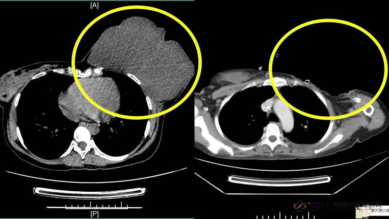
According to Prof. Song Shijun, with precise diagnosis and treatment of MDT, Prof. Song Shijun has transformed outcomes for Southeast Asian patients. Two exemplary cases include:
[ANY’s CT Scans: At admission vs. Post-Treatment]
[Radik’s Colonoscopy: Pre-Treatment VS. Post-3 Interventional Therapies]

[Radik’s Lung CT: Pre-Treatment VS. Post-Treatment]
Global Impact: Elevating China’s Oncology Leadership
As Chief Expert, Prof. Song Shijun mentors young physicians through daily ward rounds, clinical diagnosis and treatment, complex case reviews, and experiences-sharing from cases, which improve medical service level of young doctors.
In addition, he actively engaged in exchanges and cooperation with the international medical community, by hosting Southeast Asian “Belt and Road” medical delegations, presenting academic reports at global forums, and going abroad to promote technology, participating in Southeast Asian anti-cancer sharing sessions to listen to the demands of international patient, provided patients across Malaysia, Mongolia, Thailand, Laos, and Indonesia with practical treatment plans. These effort enhanced the international influence and reputation of China anti-cancer technology and clinical practice in the Southeast Asian medical community.
【Prof. Song Shijun at the 2024 CHINESE CONGRESS ON HOLISTIC INTEGRATIVE ONCOLOGY】
With great passion and empathy for Southeast Asian cancer patients, he understands their anxieties and suffering while actively promotes cancer awareness and helps them build confidence in overcoming the disease. He also emphasizes the importance of respecting the religious beliefs and cultural customs of international patients.
Looking ahead for development of cancer treatment, he remains optimistic: “While a complete cure remains elusive, advancements of treatment technology and clinical research will boost 5-year survival rates, reduce toxicity, and enhance life quality. For advanced patients, we must never relent— we fight to offer hope.” He said firmly.
Expert papers:
Effect of Radiofrequency Ablation Therapy on Immune Function for Lung Cancer Patients
Authors: Song Shijun, Liu Shuai
Source: Journal of Clinical Psychosomatic Diseases, Vol. 22, No. 3, May 2016
【Abstract】Objective: To investigate the effect of radiofrequency ablation therapy on immune function in lung cancer patients.
Conclusion: Radiofrequency ablation therapy significantly enhances immune function in lung cancer patients and plays an important role in comprehensive lung cancer treatment.
Effect of Radiofrequency Ablation Therapy on Immune Function for Liver Cancer Patients
Authors: Song Shijun, Bai Liyun, Shen Jiahui, Zhao Hongdan, Guo Kang, Li Junpeng, Wang Xia
Source: Journal of Clinical Psychosomatic Diseases, Vol. 25, No. 3, May 2019
【Abstract】Objective: To investigate the Effect of radiofrequency ablation therapy on immune function in liver cancer patients.
Conclusion: Patients with primary liver cancer have immunosuppression, and radiofrequency ablation can significantly improve patients’immune function.
Clinical Application Value of Palliative Therapy for Advanced Gastrointestinal Malignant Tumors
Authors: Li Shaoyi, Qi Aixia, Song Shijun, Bai Liyun
Source: China Practical Medicine, Vol. 11, No. 9, March 2016
【Abstract】Objective: To evaluate the clinical application value of palliative therapy for advanced gastrointestinal malignant tumors.
Conclusion: Brucea javanica oil emulsion injection combined with Compound Kushen (Sophora flavescens Aiton) Injection (CKI) demonstrates significant clinical efficacy in treating advanced gastrointestinal malignancies, improving patients' quality of life and alleviating disease-related suffering.
Clinical Analysis of Continuous Hyperthermic Peritoneal Perfusion Chemotherapy for Advanced Gastric Cancer Patients with Malignant Seroperitoneum
Authors: Song Shijun, Zhao Hongdan, Li Shaoyi, Bai Liyun, Guo Kang
Source: China Health Standard Management, Vol. 5, No. 6
【Abstract】Objective: To analyze the clinical efficacy of Continuous Hyperthermic Peritoneal Perfusion Chemotherapy in advanced gastric cancer patients with ascites and evaluate the feasibility of this treatment.
Conclusion: Continuous Hyperthermic Peritoneal Perfusion Chemotherapy yields more significant clinical efficacy than chemotherapy alone in treating advanced gastric cancer with ascites, improves patients' quality of life, and holds substantial clinical application value.
Expression and Clinical Significance of BCSG1 Protein in Breast Cancer Tissues
Authors: Song Shijun, Wang Quanzhi
Source: Medical & Pharmaceutical Journal of Chinese People's Liberation Army, Vol. 28, No. 3, March 2016
【Abstract】Objective: To investigate the expression of breast cancer-specific gene 1 (BCSG1) and of its protein in breast cancer tissues, and analyze their relationship with clinicopathological features as well as their clinical significance in treatment and prognosis.
Conclusion: BCSG1 mRNA and protein are abnormally overexpressed in breast cancer tissues, correlating with clinical staging, lymph node metastasis, and prognosis. This overexpression may serve as a risk factor for breast cancer progression.
Clinical Study of FPLC Multiple Submucosal Injection on Lymph Node Metastasis for Rectal Cancer
Authors: Song Shijun, Wang Quanzhi
Source: Journal of Colorectal & Anal Surgery, Vol. 22, No. 1, 2016
【Abstract】Objective: To investigate the effect of compound fluorouracil polyphase liposome (FPLC) Multiple submucosal injection on lymph node metastasis for rectal cancer.
Conclusion: FPLC Multiple injection effectively inhibits postoperative lymph node metastasis and micrometastasis in rectal cancer patients, promotes apoptosis of cancer cells, suppresses proliferation, and ultimately reduces local recurrence rates.
Clinical Observation of L-OHP Combined with Capecitabine Treatment for Advanced Colorectal Cancer
Authors: Song Shijun, Shen Jiahui
Source: Chinese Journal of Modern Drug Application, Vol. 2, No. 1, January 2008
【Abstract】Objective: To observe the efficacy and adverse reactions of oxaliplatin (L-OHP) combined with capecitabine in treating advanced colorectal cancer.
Conclusion: The oxaliplatin-capecitabine regimen demonstrates high efficacy, manageable toxicity, good patient tolerance, and improved quality of life.
Clinical Observation of PTX Combined with LFP Regimen for Advanced Esophageal Cancer
Authors: Song Shijun, Shen Jiahui
Source: China Practical Medicine, Vol. 3, No. 18, June 2008
【Abstract】Objective: To observe the short-term efficacy and adverse reactions of paclitaxel (PTX) combined with the LFP(PLFP) regimen in treating advanced esophageal cancer.
Conclusion: The PLFP regimen shows favorable efficacy and tolerable toxicity in treating advanced esophageal cancer, making it a viable therapeutic option.
Clinical Study on the Synergistic and Detoxifying Effects of High-Dose Astragalus in Advanced Cancer Chemotherapy
Authors: Liu Shixia, Zhang Guolin, Tan Zhihua, Song Shijun
Source: Clinical Focus, Vol. 18, No. 16, August 20, 2003
【Abstract】Objective: To observe the synergistic and detoxifying effects of high-dose Astragalus in chemotherapy for advanced cancer.
Conclusion: High-dose Astragalus injection combined with chemotherapy inhibits tumor progression and reduces toxicity while enhancing therapeutic efficacy.
Clinical Observation of Endostar Combined with Capecitabine treatment for Advanced Breast Cancer
Authors: Song Shijun, Jia Liang
Source: China Practical Medicine, Vol. 3, No. 12, April 2008
【Abstract】Objective: To evaluate the efficacy and safety of recombinant human endostatin (Endostar) combined with capecitabine in treating advanced breast cancer.
Conclusion: Endostar combined with capecitabine exhibits synergistic effects, high efficacy, minimal side effects, and improved quality of life, warranting further clinical investigation.
Application Value of Thromboelastography in Blood Transfusion for Liver Cancer Patients
Authors: Shen Jiahui, Song Shijun
Source: Journal of Clinical Psychosomatic Diseases, Vol. 22, No. 5, September 2016
【Abstract】Objective: To explore the value of thromboelastography (TEG) in comprehensively assessing coagulation function and guiding blood component transfusion for liver cancer patients.
Conclusion: TEG reduces unnecessary blood transfusions, prevents blood waste, lowers transfusion risks, and alleviates patients' financial burden, outperforming traditional detection methods.
*Surgery, in addition to the appropriate chemotherapy and radiotherapy, are effective in treating early cancer, but certain patients in late stage of cancer may not be tolerate surgery well as they can be relatively weak. A combination of carefully planned minimally invasive therapy, chemotherapy or radiotherapy can effectively reduce the side effects and discomfort of treatment and may help patient get better efficacy.
viber